|
ДИАГНОСТИКА И ЛЕЧЕНИЕ ТРАВМАТИЧЕСКИХ ВЫВИХОВ И
ПЕРЕЛОМОВЫВИХОВ КОСТЕЙ ПРЕДПЛЕЧЬЯ У ДЕТЕЙ
|
|
Частота и локализация
Детские суставы наиболее активные и сложные отделы всей системы
органов опоры и движения. Основное назначение мягкотканных анатомических
структур суставов обеспечение подвижности и устойчивости конечностей.
Важной составляющей полноценной функциональной деятельности сумочносвязочного аппарата является управляемое ограничивание
амплитуды движений в допустимых анатомофизиологических и
биомеханических параметрах сдерживающими мышечными действиями
инерционных сил в адекватных пределах, соответствующих каждому детскому
суставу. Активная функция мышечносвязочного аппарата и суставной сумки
обеспечивается эластичностью и динамичностью, пассивная упругостью и
механической прочностью.
Покровный гиалиновий хрящ обеспечивает безупречное скольжение
суставных поверхностей. В связи с отсутствием собственной системы
кровообращения после повреждения он не восстанавливается, а замещается
рубцовым покровом, основу которого составляет морфологическая структура
волокнистого хряща.
Синовиальная оболочка, образующая замкнутую суставную полость,
продуцирует синовиальную жидкость, необходимое количество и состав
которой играют очень важную роль в жизнеобеспечении суставного хряща и
функциональной деятельности сустава.
Кроме того, синовиальная оболочка сустава, пообразномувыражениюZ.Liff
(1965), одновременно является барьером для отрицательных нашествий экзо
и эндогенного происхожденияиплацдармомиммунологическихреакций.
Наделенная исключительно богатой, чувствительной и вегетативной
иннервацией, синовиальная оболочка выполняет сложные вазомоторную и
трофическую функции, которые играют ведущую роль в проявлениях
физиологических и патологических процессов в суставе, в особенности при
внутрисуставных переломах, травматических вывихах и переломовывихах.
Собственные данные, положенные в основу методических рекомендаций,,
составляют 6215 детей с травматическими вывихами, подвывихами и
переломовывихами. Это 6,3% относительно всех пострадавших детского
возраста с повреждениями опорнодвигательного аппарата за этот период.
Механогенез. Причины возникновения травматических
вывихов и переломовывихов у детей можно разделить на две группы:
способствующие и вызывающие.
К способствующим относятся неокрепший детский сумочносвязочный
аппарат, незавершенное анатомическое формирование сложного
трехсуставного сочленения, недостаточное биомеханическое возрастное
соответствие костнохрящевых суставных поверхностей, а также высокие
функциональные требования к локтевому суставу и предплечью у детей.
Сюда же нужно отнести некоторые отклонения от нормального развития
суставных компонентов диспластического происхождения.
Вызывающие причины основаны на биомеханических условиях возникновения
травмы у детей, у которых преобладает падение с упором на руки в
разнообразных ситуациях. При этом взаимодействие встречных
биомеханических сил падающего ребенка и силы противоудара, которые
возникают при столкновении дистального отдела конечности с почвой или
другим предметом, происходит на уровне локтевого сустава. Отсюда и
преобладающая частота переломов, вывихов и переломовывихов в детском
возрасте в этой области.
Наряду с преобладающим непрямым механизмом может иметь место и
прямое действие силы в виде удара по предплечью поблизости локтя. При
этом чаще возникают вывихи головки лучевой кости с
диафизарными,метафизарными и эпифизарными переломами локтевой
(переломовывихи Monteggia, Brechta, Malgaigne). Перелому локтевой
кости на том или ином уровне у ребенка может сопутствовать не только
вывих, но и переломовывих головки лучевой кости с типичной деформацией
предплечья, присущей переломовывиху типа Monteggia.
Как при прямом, так и непрямом действии травмирующей силы в
дистальной половине предплечья одновременно могут произойти вывих
головки локтевой кости и перелом лучевой также на уровне диафиза,
метафиза или эпифиза (переломовывихи Galezzi).
Наибольшая частота и тяжесть этих повреждений, сложная клиническая и
рентгенометрическая их диагностика, необходимость соблюдения
определенной последовательности при вправлении сопутствующих один
другому переломов и вывихов, неодинаковые сроки иммобилизации для
каждого из них, трудности дальнейшего восстановительного лечения и
серьезный прогноз требуют эту локализацию вывихов и перереломовывихов
рассмотреть отдельно.
Классификация
Классификация травматических вывихов и переломовывихов базируется на
степени разъединения суставных поверхностей (вывихи и подвывихи) и
давности травмы (свежие, несвежие и застарелые). Благодаря высокой
репаративной способности поврежденных детских тканей вывихи и
переломовывихи в этом возрасте рано «стареют» и становятся
невправимыми. Поэтому своевременное их распознавание и устранение
играет очень важную роль.
Наиболее сложную категорию составляют открытые вывихи,
переломовывихи и вывихи,
сопровождающиесязначительнымиповреждениямивнутрииоколосуставных
рентгеннеконтрастных мягкотканных структур, включая сосудистые и
неврологические нарушения. Было бы неправильно их называть осложнениями, это сопутствующие повреждения в отличие от истинных осложнений,
возникающих от тех или иных причин на этапахлечения.
Разновидности вывихов, переломовывихов и подвывихов: обеих костей
предплечья: задние, передние, заднелатеральные и заднемедиальные;
расходящиеся: переднезадние, боковые, комбинированные;
лучевой кости: передние, задние, латеральные, комбинированные;
пронационныеподвывихи.
В зависимости от количества одновременных вывихов и переломов в
области локтевого сустава и предплечья переломовывихи можно разделить
на одиночные и множественные.
Одиночные переломовывихи:
вывихи обеих костей предплечья с одиночными переломами костей
локтевого сустава; вывихи лучевой кости с одиночными переломами костей
локтевого сустава;
вывихи лучевой кости с переломами локтевой на уровне диафиза,
метафиза и эпифиза (Monteggia, Brechta, Malgaigne);
вывихи локтевой кости с переломами лучевой на уровне диафиза,
метафиза и эпифиза (Galezzi);
переломовывихи отдельных анатомических образований локтевого
сустава (головки лучевой кости, головочки или блока мыщелка плечевой
кости и др).
Множественные переломовывихи:
вывихи обеих костей предплечья с множественными переломами локтевого
сустава;
вывихи лучевой кости с множественными переломами локтевого сустава.
Следует отметить, что как при одиночных, так и множественных
переломовывихах сочетание вывихов и переломов может быть разнообразным,
которое не может предусмотреть ни одна из классификационных схем.
Наиболее часто встречаются вывихи обеих костей предплечья с отрывом
медиального надмыщелка плеча и переломовывихи головки лучевой кости.
КЛИНИЧЕСКАЯ И РЕНТГЕНОЛОГИЧЕСКАЯ ДИАГНОСТИКА
Общеизвестные классические клинические симптомы травматических
вывихов и переломовывихов это острая боль, резкое ограничение
активных и пассивных движений, припухлость, деформации и явления
выраженного гемартроза, вынужденное положение и изменение длины
предплечья по сравнению с противоположной здоровой стороной.
Безболезненное выполнение диагностических и лечебных манипуляций в
детской практике должно быть неукоснительным правилом.
Кроме общих признаков повреждения существуют так называемые
патогномоничные симптомы, которые свойственны определенным
разновидностям вывихов и переломовывихов. Пронационная установка
предплечья и локализованная боль при пальпации являются типичными,
например, для так называемых пронационных вывихов и подвывихов головки
лучевой кости, которые возникают у маленьких детей.
При пальпации области поврежденного локтевого сустава можно
установить нарушение взаимоотношений между известными костными
выступами, образующими сустав, например, нарушения линии и треугольника
Гютера при любых разновидностях вывиха и переломовывиха. При наиболее
частых заднелатеральных вывихах обеих костей предплечья по
заднелатеральной поверхности сустава можно пропальпировать выступающую
головку лучевой кости и верхушку локтевого отростка с контурирующимся
сухожилием трехглавой мышцы плеча, которое прикрепляется к ней. Оба эти
образования при вывихах перемещаются следом за движениями костей
вывихнутого предплечья в отличие от переломовывихов.
Сам термин переломовывих, как известно, понятие собирательное и
констатирует лишь факт одновременного наличия вывиха и перелома, не
отражающим конкретного клинического диагноза. Дня этого необходима
полная клиникоанатомическая и рентгенологическая расшифровка
разновидности и направления вывиха, локализации перелома, вида смещения
отломанного костнохрящевого фрагмента. Преобладающее большинство
заднелатеральных вывихов костей предплечья сопровождается отрывом
медиального надмыщелка. Все вывихи костей предплечья с эпиметафизарными
переломами головочки мыщелка плеча бывают заднемедиальными. Вывихи
обеих костей предплечья с переломами и переломевывихами головки
лучевой кости обычно бывают задними, поскольку боковые
сухожильноапоневротические связи при этом не нарушаются.
По данным клинической и рентгенологической симптоматики можно судить
о степени нарушения рельефа хрящевого покрова и эпиметафизарной
ростковой зоны, иметь представление о возможных нарушениях
сумочносвязочного аппарата.
Во время обследования больных с переломовывихами костей предплечья
типа Monteggia в 78% случаев можно выявить парезы лучевого нерва,
которые вызываются травматизацией его двигательной ветви вывихнутой
головкой лучевой кости.
Какой бы ни была клиническая убежденность в правильности диагноза и
достоверности впечатления об устранении вывиха или переломовывиха,
рентгенография до и после вправления необходима. Этому учат многие
неблагополучные клинические примеры.
Значительную услугу в установлении точного диагноза играют знания
возрастных сроков появления ядер окостенения эпифизов отдельных
анатомических образований локтевого сустава и времени их объединения с
метафизами. В первом полугодии жизни ребенка появляется ядро
окостенения головочки мыщелка плечевой кости, затем начинается
обызвествление головки лучевой кости (46 лет). В скором времени (57
лет) начинает оссифицироваться апофиз медиального надмыщелка, первичные
очаги окостенения блока и верхушки локтевого отростка возникают примерно
в одно время (810 лет). Следует подчеркнуть, что локтевой отросток и
блок плечевой кости чаще формируются из нескольких ядер окостенения. В
последнюю очередь (1213 лет) вдоль боковой поверхности мыщелка
появляется продолговатая тень оссификации апофиза латерального
надмыщелкового возвышения.
Процесс окостенения и слияния с метафизами всех эпифизов и апофизов
длится в среднем до 1823 лет с присущими возрасту и полу колебаниями. У
девочек начало и завершение костнохрящевых преобразований отмечается на
11,5 года раньше по сравнению с мальчиками. В
дифференциальнодиагностическом отношении важно иметь ввиду, что тени
ядер окостенения имеют гладкую округлую или овальную форму в отличие от
шероховатозубчатого рельефа костных отломков (рис. 1).
Эти основные клиникоанатомические и рентгенологические
характеристики имеют прямое отношение к особенностям лечебной тактики и
прогнозирования возможных последствий травматических вывихов и
переломовывихов костей предплечья у детей.
|
| |
|

|
|
Рис. 1. Схема возрастных сроков появления ядер окостенения
эпифизов и апофизов отдельных анатомических образований локтевого
сустава и времени их объединения с метафизами.
|
| |
|
ЛЕЧЕНИЕ
Основа лечения травматических вывихов и переломовывихов состоит из
трех последовательных этапов: вправления, удержания сопоставленных
суставообразующих костей и последующего восстановления функции
поврежденной конечности. Устранение вывиха у ребенка относится к
лечебным мерам неотложного характера. Через несколько дней
образовываются внутри и околосуставные препятствия, которые усложняют
закрытое вправление. Сама процедура вправления должна отличаться крайней
простотой и бережностью, так как неосторожное обращение с поврежденными
детскими тканями в области локтевого сустава приводит к реактивным, а
потом Рубцовым изменениям, стойким контрактурам и гетеротопическим
оссифицирующим явлениям. Сложные операции восстановительного характера
по поводу невправленных застарелых вывихов и тем более переломовывихов
у детей представляют собой непростую хирургическую задачу и далеко не
всегда приводят к желаемым результатам, а по мнению БХБабича, никогда не
дают полного восстановления функции сустава.
Свежие травматические вывихи в детском возрасте в большинстве случаев
не требуют сложных мануальных действий при их устранении в сравнении с
такими же у взрослых пациентов. Решающее значение имеет не способ
вправления вывиха, а осторожное преодоление мышечного сопротивления
путем полного расслабления мышц, чего нередко бывает вполне достаточно
для самопроизвольного сопоставления суставных поверхностей.
При наиболее частых задних вывихах обеих костей предплечья, во
избежание проникновения верхушки венечного отростка в локтевую ямку,
вначале вправления предплечье следует слегка переразогнуть. Последующая
тракция по оси в этом положении и завершающее сгибание предплечья
содействуют вправлению без дополнительных физических усилий,
травмирующих поврежденные мягкие ткани и блоковидную суставную
поверхность плеча венечным отростком. При заднелатеральных и
заднемедиальных вывихах первоначально устраняются боковые компоненты
смещения, затем переднезадние.
Расходящиеся вывихи устраняются целенаправленными мануальными
приемами в зависимости от расположения вывихнутых костей. При вывихах и
подвывихах головки лучевой кости вправление проводится с участием лица,
осуществляющего противотягу за область плеча; хирург одноименной рукой
одновременно выполняет потягивание, разгибание и супинацию предплечья, а
пальцами второй своей руки противопоставляет смещенную головку лучевой
кости головочке мыщелка плеча. Заканчивается вправление
беспрепятственным сгибанием предплечья. Если этому оказывается
препятствие вывих невправлен и репозиция методично и осторожно
повторяется.
После устранения вывиха выполняется иммобилизация гипсовой шиной в
среднефизиологическом положении конечности в локтевом суставе под
прямым углом на протяжении 78 дней с последующим физиофункциональным
лечением. Устраненные расходящиеся вывихи требуют иммобилизации не менее
2 недель. При пронационных подвывихах головки лучевой кости согнутая
ручка ребенка после вправления фиксируется марлевой повязкой типа Жюде
на протяжении 34 дней.
При несвежих и застарелых вывихах выполняется открытое вправление и
накладывается скелетное вытяжение на 23 недели для разгрузки сустава с
последующим физиофункциональным лечением. При несвежих и застарелых
вывихах одной лучевой кости выполняется открытое вправление с
трансоссальной внесуставной фиксацией головки и восстановлением
кольцеобразной связки из местных рубцовых тканей.
При переломовывихах обеих костей предплечья лечебная тактика должна
быть четкой и последовательной. Во время устранения вывиха и перелома
руководствуются локализацией перелома и разновидностью вывиха. В первую
очередь устраняется дислокация вывихнутых костей, за которыми обычно
следует соединенный с мягкотканными структурами смещенный
костнохрящевой фрагмент (рис. 2). |
| |
|

|
|
Рис. 2. Заднемедиальный вывих обеих костей предплечья с
переломовывихом головки мыщелка плечевой кости: а) до репозиции; б)
после успешной одноразовой закрытой репозиции вывиха и переломовывиха
достигнуто восстановление конгруэнтности суставообразующих костей и
отломанного костнохрящевого фрагмента; в) через 6 лет после травмы:
полное анатомическое и функциональное восстановление взаиморасположения
и структуры костей локтевого сустава
|
| |
|
После клинического и рентгенологического подтверждения восстановления
правильного взаиморасположения суставной поверхности и сопоставления
отломанного костнохрящевого фрагмента выполняется иммобилизация
конечности гипсовой шиной в среднефизиологическом положении конечности
на 78 дней дольше, чем при соответствующих изолированных вывихах. У
большинства больных со свежими переломовывихами одновременно с
устранением вывиха сопоставляются костнохрящевые фрагменты. В случаях,
когда сопоставлению отломков препятствует гематома, интерпозиция
поврежденных мягких тканей или ротационное смещение фрагмента, а тем
больше, если во время устранения вывиха отломанный костнохрящевой
фрагмент проникает в щель локтевого сустава (медиального надмыщелка,
головочки мыщелка или головки лучевой кости) дальнейшие попытки
закрытого довправления считаются неоправданными и ставятся показания к
неотложному открытому вправлению и фиксации фрагмента к материнскому
ложу спицей как и при аналогичном изолированном внутрисуставном
переломе без вывиха (рис.3). |
| |
|

|
|
Рис. 3. Заднелатеральный переломовывих обеих костей
предплечья с отрывом и ущем лением медиального надмыщелка в локтевом
суставе: а) до репозиции; б) результат устранения подвывиха и открытой
репозиции надмыщелка с фиксацией его спицей
|
| |
|
Оперативное вмешательство должно быть чрезвычайно
осторожным и проводиться в минимальном объеме. Максимально экономным
доступом обнажается только участок материнского ложа, а не весь сустав.
Смещенный фрагмент с помощью элеватора или однозубого крючка подводится
к материнскому ложу и фиксируется спицей по типу прикалывания. Мягкие
ткани, прикрепляющиеся к отломку и материнскому ложу и обеспечивающие
им кровоснабжение, отделяться не должны. При правильном проведении
фиксатора в пределах центральной зоны фрагмента и материнского ложа в
свежих случаях достаточно одной спицы. Ее следует вводить вручную с
помощью соответствующей рукоятки, чтобы чувствовать одинаковое
сопротивление ткани фрагмента и материнского ложа. Этот показатель
гарантирует доста точность фиксации одной спицей и одномомштность самой
манипуляции. В ранние сроки после травмы использование других
металоконструкций считаем необязательным. Удаление любых сломанных
костнохрящевых образований сустава у детей и подростков недопустимо.
Откушенный внешний конец спицы после зашивания операционной раны
остается поверх кожи. После операции накладывается гипсовая шина до
верхней трети плеча на 23 недели, после чего спица удаляется, шина
превращается в съемную и начинается медленное восстановление движений в
локтевом суставе с помощью только активных упражнений.
Вывихи лучевой кости с сопутствующими переломами
можно разделить на вывихи с переломами костей локтевого сустава и вывихи
с переломами локтевой кости на том или ином уровне.
При вывихах одной лучевой кости с сопутствующими переломами головочки
мыщелка или блока плечевой кости, а также переломами других
анатомических образований локтевого сустава, лечебная тактика
аналогична переломовывихам обеих костей предплечья. Первоначально
устраняется вывих лучевой кости, при этом нередко одновременно
сопоставляются отломанные фрагменты. Если после вправления вывиха этого
не происходит, тут же ставятся показания к неотложному оперативному
вправлению и фиксации отломков предусмотренными вышеуказанными
методиками.
Вывихи лучевой кости у детей, которые сопровождаются
переломами локтевой кости на уровне диафиза, метафиза или эпифиза, в
зависимости от направления вывиха, бывают передними или разгибательными,
задними или сгибательными, латеральными или приводящими, медиальными
или отводящими, и комбинированными. В детской практике встречается
четвертая разновидность такого рода переломовывиха, когда перелому
локтевой кости сопутствует не вывих, а переломовывих головки лучевой
кости. Трудности своевременной и правильной диагностики всех
разновидностей этих переломовывихов обусловлены разными уровнями
повреждений лучевой и локтевой костей. Обычно больше себя проявляет
сломанная поверхностно расположенная локтевая кость, а вывих глубже
расположенной головки лучевой остается на первых порах нераспознанным и
обнаруживается обычно после снятия повязки, наложенной по поводу
изолированного перелома локтевой кости. Недаром в литературе сохранилось
предостережение Malgaigne, что в случаях изолированного перелома
локтевой кости всегда следует убедиться, не произошел ли при этом вывих
головки лучевой кости.
Вывихи головки лучевой кости у детей очень рано «стареют» и со
второго дня становятся невправимыми. При вправлении этих
переломовывихов костей предплечья основное внимание уделяется степени
дислокации и направлению вывихнутой лучевой кости. Ее вправление
восстанавливает длину и правильную ось предплечья. Отломки локтевой
кости при этом обычно сопоставляются и довправлять их приходится редко.
Мануальные приемы репозиции те же, что и при изолированных вывихах
лучевой кости. Важно учитывать уровень и характер плоскости перелома
локтевой кости, а также направление смещения костных отломков.
Одновременно делается тракция, супинация и разгибание предплечья. Все
пальцы второй руки хирурга противопоставляют вывихнутую головку лучевой
кости головочке мыщелка плеча. Завершается репозиция сгибанием и
иммобилизацией предплечья хорошо отмоделированной гипсовой шиной до
верхней трети плеча на срок до 5 недель (рис. 4). |
| |
|

|
|
Рис. 4. Передний переломовывих костей предплечья
Monteggia: а) до вправления; б) после вправления. в) через 5 лет от
начала лечения отмечается полное восстановление формы, структуры и
взаиморасположения костей предплечья
|
| |
|
Метафизарным локализациям перелома локтевой кости нередко сопутствует
латеральный вывих головки лучевой. Это наблюдается в тех случаях, когда
перелом является крупнооскольчастым, иногда метафиз буквально
растрескивается на продольные неразъединенные фрагменты. Дугообразная
деформация локтевой кости вместе с вывихнутой головкой луча кривизной
бывает направлена в радиальную сторону, образуя угол, открытый в
медиальном направлении. Обычно эти повреждения возникают от прямой
травмы, что наносится в верхней трети предплечья с медиальной стороны.
Такой перелом недоступен для общепринятой методики репозиции. На
дугообразную деформацию локтевой кости приходится действовать вывихнутой
лучевой костью, действуя достаточно энергично при выпрямленном
предплечье, используя его как дополнительный рычаг (рис. 5, 6).
|
| |
|

|
|
Рис. 5. Передний переломовывих обеих костей предплечья с
сопутствующим крупнооскольчастым эпиметафизарным переломом локтевой
кости
|
|

|
|
Рис. 6. Латеральный переломовывих костей предплечья
Monteggia с дугообразной деформацией локтевой кости: а) до вправления;
б) через 6 недель после вправления отмечается правильное
взаиморасположение костей предплечья, сращение вправленных отломков
локтевой кости
|
| |
|
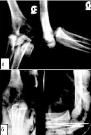
При переломовывихах Malgaigne, возникающих от прямого протиудара во
время падения на согнутое предплечье, одновременно происходят вывих
головки лучевой кости и перелом основания локтевого отростка. При этом
обе кости предплечья, не разъединяясь, смещаются кпереди. В таких
случаях одновременное устранение вывиха и вправление перелома не
вызывают особенных трудностей, несмотря на большие разрушения
сухожильноаппоневротического разгибательного аппарата. Стабилизация
сопоставленного локтевого отростка выполняется с помощью одной или двух
спиц (рис. 7). |
| |
|

|
|
Рис. 7. Переломовывих Malgaigne крупнооскольчастый
перелом локтевого отростка, передний вывих обеих костей предплечья: а)
до репозиции; б) после одномоментной закрытой репозиции вывиха и
перелома с фиксацией локтевого отростка двумя спицами
|
| |
|
Своеобразна репозиция при переломах локтевой кости с переломовывихом
головки лучевой кости. У этих больных наиболее эффективна тракция
разогнутого предплечья с одновременным поочередным пронированием и
супинированием его по методике Н.П.Свинухова. Заканчивается репозиция
пронированием предплечья с последующей иммобилизацией гипсовой шиной
сроком на 3 недели. Через 10 дней шина снимается, конечности придается
среднефизиологическое положение (рис. 8). Если отломанная головка
лучевой кости закрытым путем не вправляется, выполняется открытая ее
репозиция (рис. 8). |
| |
|

|
|
Рис. 8. Диафизарний перелом локтевой кости и
остеоэпифизеолиз головки лучевой кости с типичным смещением отломков,
характерным для переднего переломовывиха Monteggia: а) до репозиции;
б) через 8 недель после репозиции отмечается правильное
взаиморасположение костей предплечья, срастание сопоставленных отломков
локтевой и лучевой костей
|
| |
|
При задних переломовывихах головка лучевой кости вправляется при
согнутом предплечья. Чтобы избежать возможного в таких случаях рецидива
заднего вывиха или подвывиха, репозиция заканчивается постепенным
разгибанием предплечья до 120130°, не придавая ему полной супинации
(рис. 9). |
| |
|

|
|
Рис. 9.3аднелатеральный переломовывих костей предплечья
Monteggia: а) до репозиции; б) после репозиции; в) через 1,5 года
отмечается полное восстановление взаиморасположения и структуры обеих
костей предплечья
|
| |
|
При повреждениях Galezzi переломы лучевой кости с сопутствующими
вывихами локтевой могут локализоваться в области диафиза, дистального
метафиза и эпифиза. Им не уделяется должного внимания в диагностике и
лечебной тактике. Костные отломки лучевой кости должны быть анатомически
вправлены и стабилизированы, потому что даже хорошо вправленная головка
локтевой кости фактически в одном полуцилиндрическом радиоульнарном
сочленении не может обеспечить стабильность предплечья (рис.10). При
поперечных и поперечнозубчатых переломах лучевой кости закрытая
репозиция обеспечивает и удержание костных фрагментов, и восстановление
конгруэнтности в дистальном радиоульнарном сочленении. При косых и
винтообразных переломах лучевой кости, независимо от их уровня, показан
остеосинтез, потому что взаимоотношение костей в радиоульнарном суставе
нарушается и наступает рецидив вывиха головки локтевой кости.
|
| |
|

|
|
Рис. 10.Переломовывих костей предплечья Galeazzi
дистальныйостеоэпифизеолиз лучевой кости и вывих головки локтевой: а)
до репозиции; б) после репозиции.
|
| |
| |
|
Среди переломовывихов отдельных костнохрящевых образований
локтевого сустава чаще встречаются переломовывихи головки лучевой
кости, головочки и блока мыщелка плечевой кости. Серьезность этих
повреждений отличается тем, что отделенные фрагменты в значительной
степени теряют кровоснабжение и, если их своевременно не вправить, они
обречены на глубокую перестройку костнохрящевой субстанции фрагмента с
явлениями асептического некроза аваскулярного происхождения.
Предотвратить этот процесс возможно лишь экстренным сопоставлением и
фиксацией отломанного фрагмента к материнскому ложу, рассчитывая на
прорастания в него живительных сосудов. Отломанную и вывихнутую головку
лучевой кости в большинстве случаев удается вправить закрытым путем
тракцией и вращательны ми движениями предплечья, как это предусмотрено
методикой Н.П.Свинухова. Вправленная головка луча устойчиво
удерживается на своем месте. При этом достаточно иммобилизации
конечности в среднефизиологическом положении гипсовой шиной на
протяжении 23 недель, для того, чтобы она приросла к материнскому ложу
(рис. 11). |
| |
|

|
|
Рис. 11. Переломовывих головки лучевой кости: а) до
репозиции; б) после репозиции по методу Н.П.Свинухова достигнуто полное
вправление головки лучевой кости
|
| |
| |
|
Епиметафизарные фрагменты головочки и блоковидной поверхности мыщелка
плечевой кости не полностью отделяются от мягкотканных структур,
прикрепляющихся на участке надмыщелковых возвышений, и подвергаются
перестройке лишь частично. При этих повреждениях в экстренном порядке
показано открытое вправление с фиксацией фрагментов спицей по
вишеописанной методике. После 3недельной иммобилизации спица удаляется,
гипсовая шина превращается в съемную и проводится физиофункциональное
лечение. Этим удается предотвратить неблагоприятные некродистрофические
последствия (рис. 12, 13). |
| |
|

|
|
Рис. 12. Переднелатеральный переломовывих головочки
мыщелка плечовой костки: а) до репозиции; б) через год после успешной
одномоментной закрытой репозиции отмечается полное анатомическое и
функциональное восстановление локтевого сустава
|
|

|
|
Рис. 13.Переломовывихблоковидной суставной поверхности
плечевой кости до (а) и после (б) анатомической открытой репозиции
костнохрящевого фрагмента с фиксацией его спицей
|
| |
| |
|
В 1012% случаев вывихи одной или обеих костей предплечья
сопровождаются множественными переломами на участке
локтевого сустава. Преимущественно это вывихи обеих костей предплечья с
отрывами медиального надмыщелка и переломами головочки мыщелка плечевой
кости, переломами шейки, головки лучевой кости и локтевого отростка. При
множественных переломовывихах наблюдаются разнообразные их сочетания.
По нашим данным, две трети вывихов сопровождаются двумя переломами, в
остальных случаях наблюдалось по три, четыре и даже пять разнообразных
переломов. Все они сопровождаются большими внутри и внесуставными
кровоизлияниями, выраженными деформациями, острыми болями и различными
нарушениями функции конечности. Клиническая диагностика в таких случаях
бывает фактически невозможной. Решающим фактором в полной расшифровке
характера повреждения служат данные рентгенографии с
учетом возрастной анатомии детского локтевого сустава. Одномоментное
закрытое устранение вывиха и вправление всех костнохрящевых фрагментов
у этой категории пострадавших удается довольно редко. Устранить вывих,
как правило, удается всегда, а костные отломки, в связи с большим
внутри и околосуставным кровоизлиянием, приходится сопоставлять и
фиксировать оперативным путем по вышеописанным правилам, принятым в
детской травматологической практике (рис. 14, 15).
Учитывая особенную реактивность детского локтевого сустава,
дополнительные попытки закрытого довправления костных отломков у этих
больных допускаются не больше чем дважды. На фоне обширной гематомы
таким пациентам легче перенести оперативное вмешательство в наименьшем
объеме, чем повторные травматичные закрытые репозиции, которые если
даже удаются, то не обеспечивают надежное удержание множественных
костнохрящевых фрагментов. Повторная травматизация поврежденной ткани
у детей не проходит бесследно и приводит к развитию стойких контрактур
локтевого сустава и образованию оссификатов (рис. 16). |
| |
|

|
|
Рис. 14. Заднелатеральный вывих обеих костей предплечья,
переломовывих головки лучевой кости с уникальным смещением ее в
медиальную половину локтевого сустава: а) до репозиции; б) после
открытой репозиции головки лучевой кости с фиксацией ее спицейтормозом
по способу Н.П.Новаченко. в) через 2 года от начала лечения имеем
полное восстановление взаиморасположения и структуры суставобразующих
костей локтевого сустава
|
| |
|

|
|
Рис. 15. Латеральный подвывих костей предплечья, отрыв
медиального надмыщелка, перелом шейки лучевой кости, перелом
ладьевидной кости: а) до репозиции; б) после устранения подвывиха
предплечья, открытой репозиции медиального надмыщелка и головки
лучевой кости с фиксацией их спицами; в) через два года после травмы
отмечается правильное взаиморасположение костей локтевого сустава с
сохранением ростковых зон.
|
|

|
|
Рис. 16. Застарелый вывих головки лучевой кости и
расположенный над ней послетравматический оссификат, что образовался
после многократных безуспешных попыток закрытой репозиции: а) до
операции; б) после открытой репозиции головки лучевой кости с фиксацией
ее спицей и удалением оссификата; в) через 2 года после операции имеется
полное восстановление взаиморасположения и структуры костей локтевого
сустава
|
| |
|
После 23недельной иммобилизации гипсовая шина постепенно
превращается в съемную. Сначала она периодически снимается для
проведения лечебной гимнастики, потом остается только на ночь. Движения
эффективные только активные под руководством методиста по ЛФК или
подготовленной медсестры, в виде групповых занятий с широким
использованием целенаправленных игр, которыми дети охотно с увлечением
занимаются, что значительно ускоряет сроки восстановления функции
поврежденной конечности в сравнении со стандартными общепринятыми
занятиями. Насильственные пассивные упражнения при разработке движений в
локтевом суставе у детей отрицательно влияют на восстановительные
процессы и в практике работы детских травматологических отделений
использоваться не должны.
В общем сроки лечения менее продолжительны, а результаты лечения
более благоприятные бывают у детей с вывихами и переломовывихами обеих
костей предплечья и отрывами медиального надмыщелка, вывихами головки
лучевой кости и сопутствующими переломами локтевой. Наиболее серьезный
прогноз при вывихах обеих или одной кости предплечья с эпифизарными
переломами головочки или блока мыщелка плеча, а так же после
множественных переломовывихов костей предплечья и локтевого сустава.
РЕЗЮМЕ
В заключение следует отметить, что несмотря на значительную тяжесть
одиночных и множественных переломовывихов костей предплечья и
локтевого сустава, в лечебной тактике оправдывает себя стремление во
всех случаях добиваться анато мического сопоставления фрагментов,
следуя главному правилу травматологии, что полная функция поврежденной
конечности может быть достигнута только при условии своевременного и
полного анатомического сопоставления смещенных фрагментов и
восстановления правильных взаимоотношений суставообразующих костей.
Для предотвращения ближайших и отдаленных осложнений наиболее важным
фактором как при консервативных, так и оперативных методах лечения
является щадящее обращение с поврежденными тканями детского локтевого
сустава и костей предплечья, что, кроме восстановления функции,
способствует сохранению способности к нормальному последующему росту и
развитию поврежденной конечности.
Подтверждением правильности высказанных положений может служить опыт
лечения 6215 детей с одиночными и множественными травматическими
вывихами и переломовывихами костей предплечья и локтевого сустава и
высокий удельный вес отличных и хороших результатов, которые достигнуты
у 97,82% обследованных бывших пациентов в отдаленные сроки наблюдения.
|
|
| |
 |
|