В начало
►
Архив
►
Эхограммы
►
Почки, мочеточники, мочевой пузырь
Абсцесс левой почки
Абсцесса паренхимы левой почки на фоне острого пиелонефрита
Гломерулонефрит
Гидрокаликоз
Обструктивный гидрокаликоз
Истинный дивертикуль мочевого пузыря
L-
образная почка
S-
образная почка
Гидронефроз
Двухсторонний пиелонефрит
Врожденный наружный свищ мочевого пузыря
Ангиомиолипомы паренхимы правой почки
Взрослый тип поликистоза почки
Гидронефротическая трансформациия левой почки
Двухсторонний пузырно-мочеточниковый рефлюкс
Дисметаболическая
нефропатия
Дополнительная долька почки
Инфантильный тип поликистоза почки
Инфицированная киста верхней трети правой почки
Исход травматического неполного отрыва верхнего полюса левой почки
Исход травматического неполного отрыва нижнего полюса левой почки
Кавернозный туберкулез левой почки
Катетеризированный мочевой пузырь
Кисты паранефрального пространства
Кисты почечного синуса
Комообразная
почка
Конкремент мочевого пузыря
Мегауретерогидронефроз
Медуллярная кистозная болезнь
Пациент с энурезом и нейрогенным мочевым пузырем
Мочеточник при полном удвоении правой почки
Мультикистозная
дисплазии левой почки
Необлитерированный
мочевой проток
Нефролитиаз
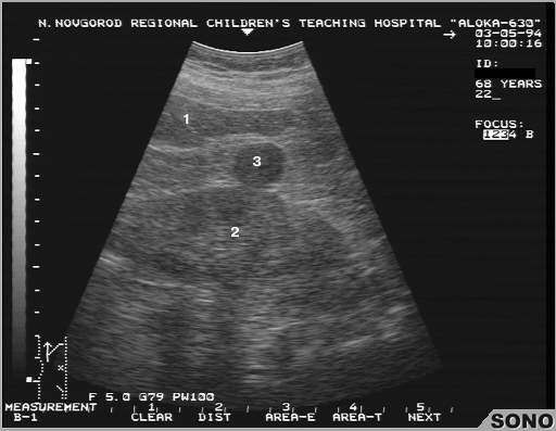
Объемное образование правой почки
Ограниченная посттравматическая субкапсулярная гематома
Один из вариантов эктопии левого мочеточника в уретру
Опухоль Вильмса правой почки
Опухоль мочевого пузыря в области передней стенки
Организовавшееся послеоперационная гематомы
Острый правосторонний пиелонефрит
Острый цистит
Острый гломерулонефрит
Острый пиелонефрит с формированием очага деструкции
Подковообразная почк
Полип мочевого пузыря
Полное удвоение правой почки
Полное удвоение правой почки
. На эхограмме отчетливо визуализируются две сосудистые ножки
Посттравматические изменения левой почки
Посттравматические изменения почек, осложненных массивной гематурией
Посттравматический подкапсульный разрыв паренхимы почки
Почечный синус, визуализируется пристеночное эхогенное образование (тромб)
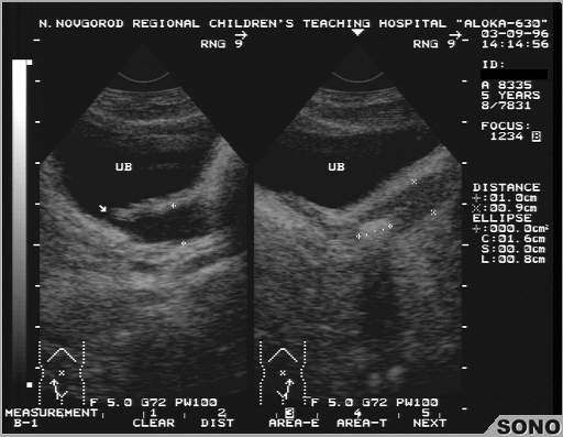
Пузырно-мочеточниковый рефлюкс
Симптомокомплекс
острого левостороннего пиелонефрита
Солитарная
киста верхней трети правой почки
Тазовая дистопия правой почки
Увеличенные лимфатические узлы
в проекции ворот почек у пациента с острым лейкозом
Умеренная гипоплазия левой почки
Уретеролитиаз
Фокальная кистозная дисплазия правой почки
Хронический цистит