В начало
►
Архив
►
рентгенограмм
ы
►
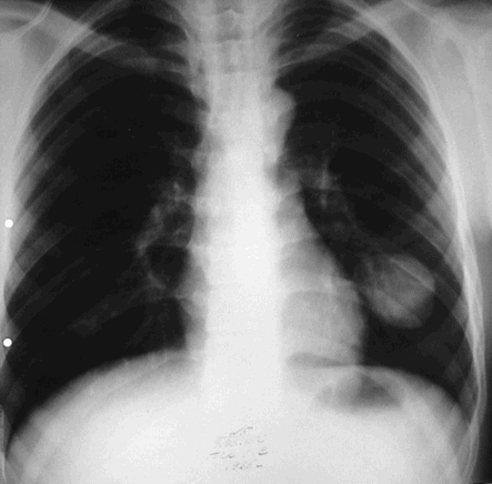
Эхинококкоз легких