В начало
►
Архив
►
Компьютерные томограммы
►
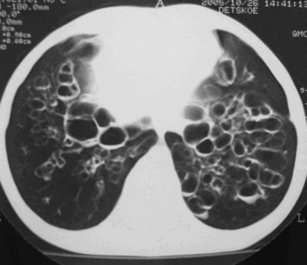
Кистозная гипоплазия легких