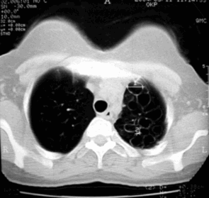
В начало Архив Компьютерные томограммы Кистозная гипоплазия легких